Không mài răng, không phạm vào khoảng sinh học của răng sinh lý, bảo toàn răng thật tối đa, răng sáng đẹp bền chắc,… là những lời khen “có cánh” của khách hàng với phương pháp dán răng sứ Veneer. Cùng Dr Bean tìm hiểu cụ thể hơn về phương pháp “triệu like” này nhé.
1/ DÁN RĂNG SỨ VENEER LÀ GÌ?
Dán răng sứ Veneer là công nghệ bọc răng sứ thẩm mỹ hiện đại, sở hữu nhiều ưu điểm nhất, giúp cải thiện các khuyết điểm của răng một cách hiệu quả. Mặt dán sứ được dán cố định vào bên ngoài bề mặt răng cần được phục hình bằng keo dán răng sứ chuyên dụng đảm bảo ôm vừa khít toàn thân răng một cách tự nhiên nhất.

2/ ĐỐI TƯỢNG PHÙ HỢP DÁN RĂNG SỨ VENEER
Khi bạn gặp phải những trường hợp dưới đây, sử dụng phương pháp dán sứ veneer là lựa chọn hoàn hảo bạn đang tìm kiếm:
– Răng bị sứt mẻ, bể vỡ nhưng kích thước không quá 1/3 thân răng.
– Răng bị thưa, hai răng cửa có kích thước to hơn các răng còn lại hoặc chân răng ngắn.
– Răng bị nhiễm màu do thuốc kháng sinh, hút thuốc lá mà tẩy trắng răng không có tác dụng.
– Răng cửa bị tổn thương
– Bệnh nhân trên 18 tuổi
Bạn vẫn chưa rõ tình trạng răng của mình có phù hợp để làm dán răng sứ Veneer? Đừng lo lắng, click đăng ký tư vấn ngay để được bác sĩ tại NHA KHOA DR BEAN giải đáp tận tình và hoàn toàn miễn phí cho bạn nhé!
Trường hợp không nên áp dụng răng sứ Veneer:
– Răng mọc lệch quá nhiều hoặc bị sai khớp cắn
– Răng bị nha chu
– Răng sâu hoặc răng đã chữa tủy
– Khoảng cách của các răng thưa quá lớn
3/ ƯU VÀ NHƯỢC ĐIỂM KHI DÁN RĂNG SỨ VENEER
Dán răng sứ Veneer có thể khắc phục được những khuyết điểm về hình thể của răng, được các chuyên gia đánh giá cao.
Điểm mặt các ưu điểm của mặt dán sứ Veneer:
- An toàn, không gây kích ứng
Chất liệu để thiết kế mặt dán sứ Veneer được phủ một lớp sứ có khả năng kháng mòn tốt, không gây kích ứng, không bị phản ứng hóa học trong môi trường miệng, an toàn với nướu răng, không bị nhiễm màu theo thời gian sử dụng.
- Phục hình răng bền-đẹp
Mặt dán sứ có màu sắc tương tự với màu răng của của bệnh nhân tạo nên sự đồng bộ. Khách hàng dán răng sứ veneer xong sẽ thoải mái ăn nhai và giao tiếp mà không sợ bị người khác phát hiện.
Ngoài ra, quá trình tạo miếng dán sứ được ép nóng bằng phương pháp hiện đại, dưới nhiệt độ cao sẽ tạo ra miếng dán có độ trắng trong và tinh tế như răng thật.
- Bảo tồn răng sinh lý tối đa
Mặt dán sứ làm bằng lớp sứ mỏng khoảng từ 0,2 mm – 0,5 mm, được cố định vào bên ngoài bề mặt răng cần được phục hình bằng keo dán răng sứ chuyên dụng.
Chính bởi sự tiên tiến trong công nghệ dán sứ mà bảo tồn được cấu trúc của răng thật tối đa, không phải mài răng, chỉ cần tạo nhám bề mặt răng một lớp cực mỏng, không phạm vào khoảng sinh học của răng.
Tuy nhiên, dán răng sứ cũng có một vài nhược điểm như không thể áp dụng cho các trường hợp khớp cắn lệch lạc nặng như khớp đối đầu, cắn chéo.
4/ DÁN RĂNG SỨ VENEER GIỮ ĐƯỢC BAO LÂU?

Độ bền của mặt dán sứ veneer phụ thuộc nhiều vào chất liệu sứ, tay nghề bác sĩ thực hiện và cách chăm sóc răng miệng sau khi dán răng sứ.
Nhìn chung, độ bền trung bình của mặt dán sứ từ 5-10 năm, thậm chí nếu đáp ứng đủ các yêu cầu trên, mặt dán còn có thể kéo dài tuổi thọ lên 20-30 năm.
5/ QUY TRÌNH DÁN RĂNG SỨ VENEER
Quy trình Dán răng sứ Veneer khá nhanh gọn, không tốn nhiều thời gian, được thực hiện theo các bước sau:
- Bước 1: Bác sĩ thăm khám, kiểm tra, bệnh nhân chụp phim
Bác sĩ tiến hành thăm khám tổng quát tình trạng răng miệng của khách, hướng dẫn khách hàng chụp phim X-quang răng để đánh giá các khiếm khuyết, nguyên nhân gây hư tổn và số lượng răng cần phục hình.
- Bước 2: Tư vấn các loại răng sứ, lấy dấu răng
Bác sĩ sẽ tư vấn cho khách hàng loại răng sứ phù hợp nhất, đưa ra tiến trình điều trị. Đồng thời, khách hàng được lấy dấu hàm răng, được thiết kế nụ cười với phần mềm Design Smile 3D giúp khách hàng thấy trước được nụ cười hoàn hảo của mình sau khi dán sứ Veneer.
- Bước 3: Sửa soạn răng, chế tác răng sứ
Xử lý phần bề mặt ở mặt ngoài của răng, ở giai đoạn này những trường hợp răng lệch lạc nhẹ bác sĩ sẽ mài bớt một phần men răng mỏng ở trên bề mặt (gần như không mài) để cố định mặt sứ lên trên.
Tùy thuộc vào tình trạng răng của mỗi người mà bác sĩ sẽ sửa soạn răng, tạo nhám cho mặt răng giúp mặt dán sứ bám chắc hơn với thân răng thật.
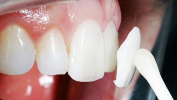
- Bước 4: Dán răng sứ Veneer
Tiến hành dán sứ lên răng theo đúng kỹ thuật, thực hiện dưới điều kiện vô trùng đạt chuẩn với các trang thiết bị và máy móc hiện đại, theo thiết kế nụ cười ban đầu để khách hàng có được hàm răng đều, trắng sáng, bền đẹp dài lâu.
- Bước 5: Bác sĩ hướng dẫn chăm sóc răng miệng tại nhà, hẹn lịch tái khám
Kết thúc quá trình dán răng sứ, bác sĩ sẽ đánh giá và kiểm tra cường độ, mức độ chịu lực của răng, đảm bảo răng sau khi dán sứ hài hòa, đảm bảo các chức năng và thẩm mỹ cần thiết.
6/ NHỮNG LƯU Ý SAU KHI DÁN RĂNG SỨ VENEER
Theo các chuyên gia, nếu có thói quen chăm sóc răng miệng cẩn thận sau khi dán răng sứ Veneer thì tuổi thọ của răng sẽ được lâu dài hơn.
Dưới đây là một số lưu ý quan trọng giúp bạn bảo vệ mặt dán sứ tốt hơn:
- Sau 2 tiếng đầu dán răng sứ, bạn có thể ăn uống bình thường, nên kiêng thực phẩm chua – cay để đảm bảo độ kết dính giữa 2 lớp răng tốt hơn.
- Tuyệt đối không hút thuốc lá vì trong khói thuốc có thành phần nicotine có thể khiến miếng dán sứ bị mất đi màu sắc ban đầu, độ trắng trong tự nhiên.
- Nên cân nhắc sử dụng các loại thực phẩm tối màu như cà phê, trà, nước tương, rượu vang, sốt để giúp răng được sáng, trắng.
- Không dùng răng để mở nắp chai, cắn xé bao bì hay ăn kẹo cao su, kẹo cứng.
- Nên sử dụng nước súc miệng y khoa để làm sạch hoàn toàn mảng bám trong khoang miệng.
- Sử dụng bàn chải lông mềm, đánh răng 2 lần/ ngày để tránh gây tổn thương cho viền lợi tiếp xúc với miếng dán.
- Đặc biệt, tuân thủ lịch tái khám do bác sĩ chỉ định để kịp thời kiểm tra, phát hiện những chi tiết cần chỉnh sửa (nếu có), kéo dài tuổi thọ cho răng sứ hơn.
NHA KHOA DR BEAN ứng dụng phần mềm thiết kế nụ cười giúp khách hàng sở hữu nụ cười đạt chuẩn, cùng hàm răng trắng sáng, hài hòa, tự nhiên. Việc biết trước nụ cười tương lai giúp khách hàng yên tâm hơn với phương pháp điều trị và cam kết từ NHA KHOA DR BEAN.

