Niềng răng là phương pháp sử dụng những khí cụ nha khoa chuyên dụng để đưa răng về vị trí mong muốn nhằm mang đến sự hài hòa cho gương mặt, khớp cắn cân đối, thực hiện tốt chức năng ăn nhai. Tuy nhiên, rất nhiều người băn khoăn khi nào nên niềng răng, hãy đọc ngay những thông tin dưới đây.
1/ CĂN CỨ XÁC ĐỊNH KHI NÀO NÊN NIỀNG RĂNG
Giải đáp cho đắn đo khi nào nên niềng răng, NHA KHOA DR BEAN đưa ra các trường hợp phổ biến cần niềng răng sau:
1.1. Răng khấp khểnh

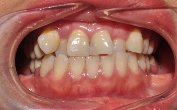
Răng khấp khểnh là tình trạng răng mọc lệch hay chen chúc, chồng chéo lên nhau, cái mọc chìa ra, cái lại thụt vào khiến hàm răng trông rất lộn xộn, mất thẩm mỹ.
Do các răng chồng chéo lên nhau khiến thức ăn thường xuyên bị giắt lại tại các kẽ. Bởi vậy mà ngoài tính thẩm mỹ kém, vệ sinh răng mọc lệch cũng bất tiện và khó khăn hơn nhiều.
1.2. Răng thưa
Răng thưa là tình trạng các răng trên cung hàm mọc cách xa nhau hơn so với bình thường, nguyên nhân có thể do răng mọc không đều hoặc mất răng.
Răng thưa không chỉ gây ảnh hưởng về mặt thẩm mỹ, làm giảm tự tin khi giao tiếp mà còn gây ra những vấn đề về sức khỏe răng miệng như: sâu răng, viêm lợi, viêm nha chu,… do thức ăn bị mắc lại trong các kẽ răng thưa.

1.3. Sai khớp cắn
Là tình trạng hàm trên và hàm dưới tiếp xúc sai lệch so với bình thường. Một số thể sai khớp cắn:
- Khớp cắn hô (vẩu)
Những người có khớp cắn hô thì tuy là nhóm răng sau hai hàm trên – dưới vẫn tiếp xúc nhưng nhóm răng trước hàm trên lại che khuất hoàn toàn nhóm răng trước hàm dưới và cách xa nhau.
Thêm vào đó, gương mặt khi nhìn thẳng hay nghiêng đều thấy miệng nhọn, hàm trên nhô ra phía trước do 3 phần trán – mũi – cằm bị lệch gây mất thẩm mỹ và khiến nhiều người tự ti trong giao tiếp. Hơn nữa, do khớp cắn bị sai lệch nên khi nhai răng sẽ bị bào mòn nhiều hơn bình thường.
- Khớp cắn ngược (móm)
Đây là tình trạng nhóm răng trước hàm trên ở trong nhóm răng trước hàm dưới và bị hàm dưới che khuất hoàn toàn. Tương quan 3 phần trán – mũi – cằm lúc này bị lệch, gãy ở giữa nên trông khuôn mặt giống hình lưỡi cày khi nhìn nghiêng do mũi gãy hoặc cằm nhô ra trước.
Người bị khớp cắn ngược thường bị dị tật răng nanh ngầm, phát âm không chính xác và ăn nhai cũng gặp nhiều khó khăn hơn bình thường.

- Khớp cắn hở
Ở những người có khớp cắn hở, khi răng ở trạng thái nghỉ vẫn có thể nhìn thấy lưỡi bên trong do nhóm răng trước hai hàm không chạm nhau. Chính điều này cũng khiến cho bệnh nhân gặp khó khăn trong ăn nhai rất nhiều.
- Khớp cắn đối đầu
Đặc điểm rõ ràng nhất của khớp cắn đối đầu là nhóm răng trước của hai hàm tiếp xúc nhau ở rìa răng. Đây là một dạng sai khớp cắn mức độ nhẹ nhưng nếu không xử trí kịp thời cũng sẽ gây ra những biến chứng ảnh hưởng đến sức khỏe răng miệng: nhai dễ bị mỏi do khớp cắn không khớp, hệ thống răng cửa dễ bị bào mòn, sứt mẻ là nguy cơ gây sâu răng, viêm tuỷ.
- Khớp cắn sâu
Khớp cắn sâu là tình trạng nhóm răng trước hàm trên phủ lên và che khuất hàm dưới, rìa răng trước hàm dưới chạm vào nướu trong hàm trên. Chính những điều này tiềm ẩn nhiều nguy cơ cho sức khỏe răng miệng như vùng khớp thái dương phải chịu quá tải lực, răng dễ bị mòn, ê buốt.
2/ KHI NÀO NÊN NIỀNG RĂNG ĐỂ ĐẠT HIỆU QUẢ TỐT?
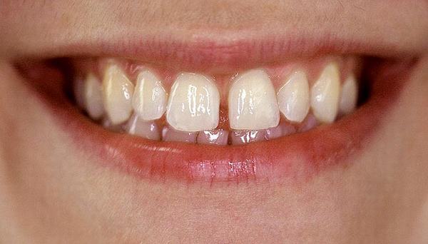
Bên cạnh các trường hợp nên niềng răng như đã đề cập phía trên, thì thời điểm khi nào cần niềng răng cũng là một yếu tố quan trọng để thu được kết quả tốt hơn. Theo như chia sẻ của các chuyên gia, độ tuổi được khuyến khích nên chỉnh nha là từ 12 đến 35 tuổi. Trong đó, độ tuổi từ 12 đến 16 khi mà các răng vĩnh viễn đã thay thế toàn bộ răng sữa được coi là thời điểm vàng cho hiệu quả niềng răng tốt hơn.
Ở tầm tuổi này, xương đang trong quá trình phát triển và hoàn thiện nên dễ uốn nắn, can thiệp chỉnh nha lúc này không những giúp định hướng cho răng mọc đúng vị trí, tác động được đến cả xương hàm mà còn giúp tiết kiệm thời gian niềng răng, hạn chế đau đớn. Bởi vậy mà khi lớn lớn, bạn đã sở hữu ngay một hàm răng đều đẹp, nụ cười rạng rỡ và khuôn mặt cân đối.

Ngoài giai đoạn 12 – 16 tuổi, mặc dù đã qua thời điểm thích hợp nhất cho chỉnh nha nhưng bạn vẫn hoàn toàn có thể thực hiện được. Tuy nhiên là thời gian niềng có thể sẽ kéo dài hơn một chút do cấu trúc xương hiện tại đã ổn định và cứng cáp hơn khiến việc di chuyển vị trí cũng gặp nhiều khó khăn hơn.
Vậy nên, hãy liên hệ ngay với NHA KHOA DR BEAN qua hotline để được tư vấn MIỄN PHÍ và xác định thời điểm khi nào nên niềng răng sẽ đạt hiệu quả cao nhất. Chúc cho bạn và gia đình luôn giữ sức khỏe răng miệng thật tốt, tự tin cười rạng rỡ để gặt hái thật nhiều thành công.
CÓ THỂ BẠN QUAN TÂM
» Chia sẻ “kinh nghiệm niềng răng” để đạt hiệu quả chỉnh nha tốt nhất
» Hiểu rõ TƯỜNG TẬN về các loại niềng răng trên thị trường hiện nay
BẠN MUỐN NIỀNG RĂNG, ĐỂ LẠI SỐ ĐIỆN THOẠI BÁC SĨ SẼ GỌI ĐIỆN TƯ VẤN!

